「先生にも言ってなかったことなんですが、じつは末期なんです。それを口にしてしまうのが、ずっと、どうしてもできなくて、つい先日妻にやっと言えて、先生にもお伝えしなきゃと思って…。はい、今日やっと言えました。」
おだやかな笑顔を見せた。
この笑顔から一気に事は進んだ。僕はそう思う。6月9日のことだった。
29歳。男性。2024/12/27初診。
ドクターからは、いつどうなってもおかしくないと言われている。それは聞いてはいた。たたみかけるように3月には、「近い将来たおれる」と言われた。やわらかく婉曲に言っているが、実質は “死の宣告” である。
頭部のガンである。巨大化しており、脳幹に肉薄している。脳幹が侵されると、ここは呼吸や心拍の中枢ゆえに死に至る。 “死の宣告” はそれを踏まえたものである。
愛知県から週に1回通院し、朝8時30分に来院、午前中に3回の治療を行って、院を出るのは12時。それを淡々と繰り返してきた。こうやって互いに笑顔を交わしながら、元気で通院がかなっている。それが何よりであるとしつつも、何とか良くなってもらいたいという気持ちで診続けてきた。
いつの間にか、その “宣告” から7ヶ月が経過していた。
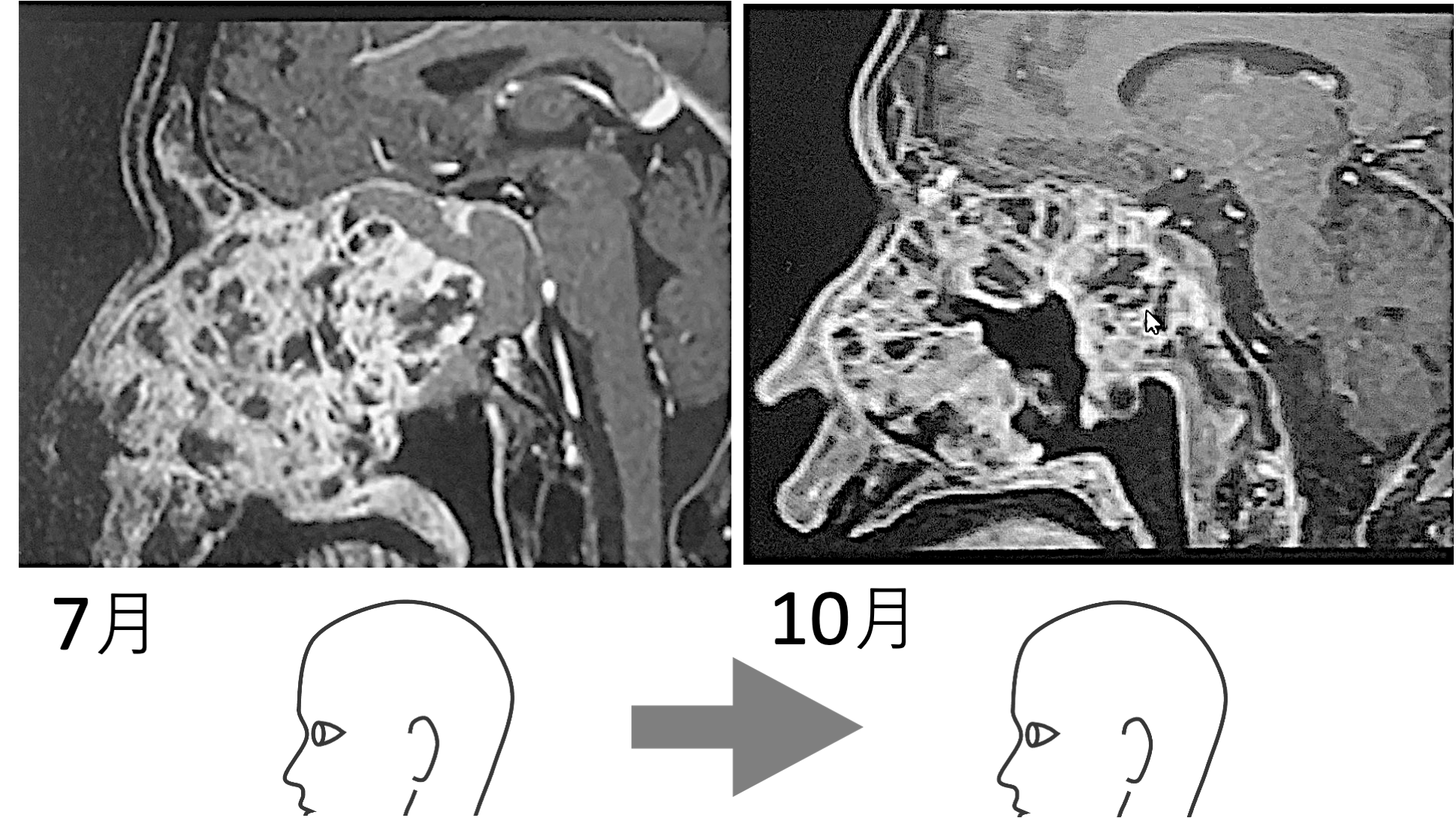
そして10月、奇跡が目に見える形で証明された。MRIでガン中心部が消えたのである。
〇
ガンの本体は瘀血である。瘀血とは硬い塊である。ガンとは硬い性質があり、この硬い塊を除去しなければならない。硬いものは、こま切れに排出できない。だから難しいのである。
その硬さは、「鏡餅」のようなものと考えるといい。鏡餅の元の形は「餅」である。つきたての餅が柔らかいように、ガンも最初は柔らかいのだ。この柔らかいものを痰湿という。痰湿の柔らかいうちに掃除しなければならないのだが、それを放置すると鏡餅のようにカチカチになるのである。
では、カチカチの鏡餅を除去するにはどうしたらいいか。まずこれをふやかす。ふやかせば、ふやけたところから除去が可能になる。だが、ふやけるとどうなるか。塊は大きくなるのである。画像診断で大きくなったら? これは悪化とみなされる。そういうことを想定しておいてください…そのように説明した。
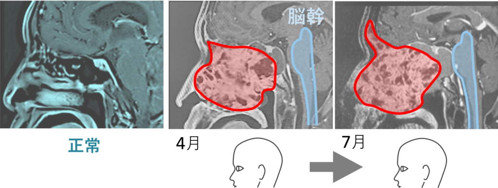
3ヶ月に1回、MRIを取りに行く。画像は現実を突きつけてくる。脳幹だけでなく、脳神経でつながる目や耳など、重要器官が集中するこの場所に巨大ガンは居座る。
4月。死にはしなかった。だが右耳が聞こえなくなった。7月には右目が見えにくくなった。ガンが聴神経 (内耳神経) ・動眼神経などを圧迫し始めたのである。ああこのまま、脳が侵されていくのか。誰もがそう思うだろう。だが僕は動じない。神シンがある。
目や耳につながる清竅を風痰がふさぎ始めたと診る。そのかわり、命の根幹 (脳幹) につながる清竅はふさいでいない。これはダーツの的の中心には当たらず (中臓腑) 、点数の低い外側に当たった (中経絡) ということである。大難が小難に、事なきを得ている。そう見て取ったのである。
小難をさらに無難とするため、その風痰を取ることを怠らない。正気を百会で丁寧に補うと、人中に生きたツボの反応が出た。そしてそれを瀉法するという作業を続けた。
7月、耳が聞こえるようになった。8月、目が見えるようになった。しかもその頃から、ガンとおぼしき血塊を口から吐き出すということが頻繁に起こり始めた。この血塊は風痰である。清竅をふさいでいた風痰が、本当に体外に排出されたのである。
10月、画像診断でガンのコアに大きな空洞が映し出された。しかも巨大化しつつあるかに見えた全体像が縮小している。つまり真ん中に空洞ができては、その空洞が押しつぶされ小さくなり、それを繰り返しながら全体像が小さくなったのである。
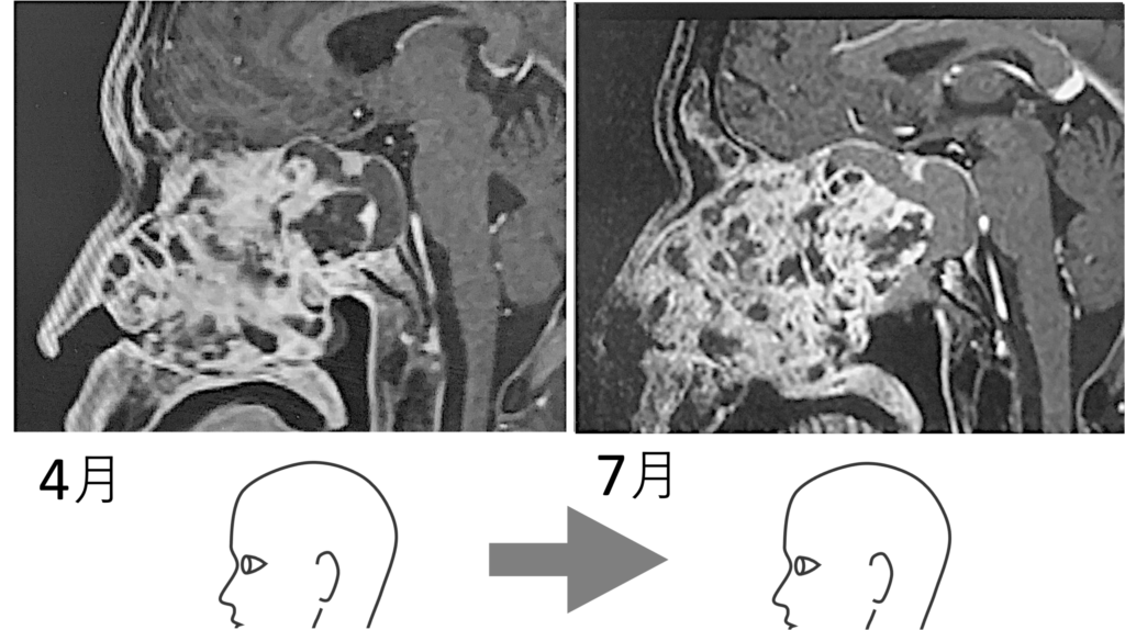
そうである。1月・4月・7月までの画像の変化はほとんどなく、若干大きくなったかに見える。一見、治療は効いていないかに見える。しかし、画像には映らないガンの「中身」の変化があったのだ。すなわち、1月はカチカチに硬かったガンがだんだんと、コア (芯) の部分から柔らかくなってきていたのだ。
ガンの表面が柔らかくなってしまうとガン組織がアクティブになって、脳幹への浸潤の危険がある。だから体は、表面の硬さはそのままに、コアから柔らかくすることを選択したのである。コアが柔らかくなると、その分ガンはふやけて巨大化する。その結果として、いったん後退していた鼻腔のガンが再び張り出してきたり、聴神経や動眼神経を圧迫したりしたのである。
そして、ドロドロの柔らかさになったコアは、一気に血の塊として口から吐き出された。それを何度も繰り返す。
末期ガン…あなたはもう助からない…その診断に完全に逆行する奇跡は、こうして起こったのである。
この奇跡は、目や耳が効かなくなってきても「良いイメージ」を持ち続けた、その奇跡の上に成り立っている。
僕を信じてくれたのである。
カルテ全文の公開
付した番号 (1.2.3.) は、その日の治療回数を示している。1.は1回目の治療、2.は2回目の治療、3.は3回目の治療である。遠望からの来院であるため、足繁く通院がむずかいしいので週に1回の通院とし、1日で一度に最大3回の治療をおこなった。病気を治すためには週に2〜3回は治療が必要だが、このようにしてそれをクリアしたのである。
なお、本症例は抗癌剤・放射線・免疫療法など主要とされる治療を行っていないことを明記しておく。
2024/12/27 (金)
- 百会3番10秒置鍼。
幼少期からのストレスLevel3 中期邪気スコア(顔面部)45 長期邪気スコア3


この日が初診である。その診察中に口から大量に血塊を排出した。詳しくは下リンクにまとめた。末尾でも触れたが、表証を取った直後に排出したのである。

今まで経験のない血塊排出は、ガンを吐き出したのである。当院を初めて受診し、その最中に起こったこの出来事は、当該患者もそして僕も、奇跡と感じた。体が「このまま此処で治療してよい」という “証し” を立ててくれたのだろうか。
2025/1/9 (木)
- 百会3番10秒置鍼。
- 百会3番10秒置鍼。
中期邪気スコア(顔面部)10 布団に入る時暖かく感じるようになった。 >> 表寒が取れたため。
1/13 (月)
- 百会3番2分置鍼。
- 百会3番2分置鍼。
- 百会3番2分置鍼。右臨泣に銀製古代鍼で瀉法。
“仕事に向かう感覚が柔らかい” とのこと。ガンの圧迫感10→5。ウォーキング5分指導。
1/20 (月)
- 百会3番2分置鍼。右臨泣に即刺即抜で瀉法。
- 百会3番2分置鍼。右臨泣に即刺即抜で瀉法。
- 百会3番2分置鍼。右臨泣に即刺即抜で瀉法。
幼少期からのストレスLevel3→0。中期邪気スコア(顔面部)7。ガンの圧迫感10→5のままだが軽く感じる。ウォーキング10分指導。


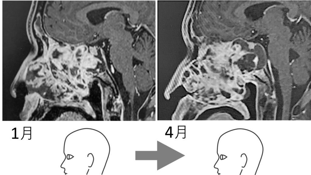
前年10月の画像を見ると、ガンの向かって左 (鼻のあたり) に空洞があることが分かる。まだガンが大きくなるスペースは残されていた。ところが1月の画像をみるとその空洞はなくなっている。もうガンが大きくなるスペースがなくなり、すし詰め状態となっている。こうなると、やがて脳幹 (画像の青色でなぞった部分) をガンが襲うことになる。これは死を意味する。後述するが、ドクターが予測した その時“” は、3月中であった。10月から1月にかけての巨大化の速度から、この調子で行くと3月に脳幹に達すると推測したのだ。
そんな状態から当院での治療は始まった。
1/27 (月)
- 百会3番2分置鍼。右臨泣に即刺即抜で瀉法。
- 百会5番5分置鍼。
出血が減ってきている。イライラすることが多かった。だるさで会社を休んだ。
2/6 (木)
- 百会5番3分置鍼。
- 百会5番4分置鍼。
- 百会5番3分置鍼。
左鼻で息が吸える (ウォーキング時) 。右まぶたが腫れぼったい。ウォーキング15分指導。
2/10 (月)
- 百会5番4分置鍼。
- 百会5番5分置鍼。右臨泣に即刺即抜で瀉法。
- 百会5番5分置鍼。右臨泣に即刺即抜で瀉法。
左鼻で楽に息が吸える。ウォーキング20分指導。
2/17 (月)
- 百会5番5分置鍼。
- 百会5番5分置鍼。
- 百会5番5分置鍼。
中期邪気スコア(顔面部)5。ガンの圧迫感なし。
2/25 (火)
- 百会5番5分置鍼。右臨泣に即刺即抜で瀉法。
- 百会5番5分置鍼。
- 百会5番5分置鍼。
中期邪気スコア(顔面部)5。ウォーキング25分指導。
3/3 (月)
- 百会5番5分置鍼。
- 百会5番5分置鍼。
- 百会5番4分置鍼。
長期邪気スコア3→2。ガンの圧迫感なし。右鼻の腫瘍が奥に引っ込んできている (画像) 。おととい結婚式で親にあって好きと感謝の気持ちが自分にあることを確認できた。不安がかなり少ない。ウォーキング30分指導。
3/10 (月)
- 百会5番5分置鍼。
- 百会5番5分置鍼。右臨泣に即刺即抜で瀉法。
- 百会5番5分置鍼。
中期邪気スコア(顔面部)5。3/6に病院で「近い将来倒れる」と言われた。それから頭痛があり、たまに締め付けてくる。
3/17 (月)
- 百会5番5分置鍼。
- 百会5番5分置鍼。
- 百会5番5分置鍼。
3/6からの頭痛はだんだんひどくなり昨日がピークで寒気もあった。今朝からも軽く頭痛。千回治療後から血の混じった鼻水がやや増えている。
3/24 (月)
- 百会5番5分置鍼。
- 百会5番5分置鍼。抜鍼時出血。
- 百会5番5分置鍼。
頭痛は前回治療後からなくなった。この一週間は目覚めることなく、よく寝ている。それまでは夜中に起きて鼻に詰めているティッシュを変えていた。ウォーキング35分指導。
3/31 (月)
- 百会5番5分置鍼。
- 百会5番5分置鍼。
- 百会5番5分置鍼。
中期邪気スコア(顔面部)6。右頬がすこし重い。血の混じった鼻水が続いている。
4/7 (月)
- 百会5番5分置鍼。
- 百会5番5分置鍼。
- 百会5番5分置鍼。
体調はよい。右肩甲間部がずっと痛かったが此処に通い始めてから痛くないことに今日気付いた。臭いが若干わかる時がある。右頬の重さがあったが軽くなった。ウォーキング45分指導。
4/14 (月)
- 百会5番5分置鍼。
- 百会5番5分置鍼。
- 百会5番5分置鍼。
4/12・13と後頭部痛がひどく、右耳も聞こえにくかった。今は聞こえる。4/17に検査結果が出るからか昨夜寝付きが悪かったが、先生 (僕) の顔を見て安心した。中期邪気スコア(顔面部)5→中期邪気スコア(胃脘部)12に移動。


ガンの大きさはほぼ変わっていない。おそらくだが、ドクターは怪訝な思いであっただろう。3月にXデーは来ると予測したにも関わらず、進行が止まったのである。これは初診の血塊排出が大きく関わると見る。
いやよく見ると、わずかだが大きくなったようにも見える。下段で後述するが、このときすでにガン中心部の軟化は始まっていたと見る。見た目の画像では変化はないが、「かたい餅」から「やわらかい餅」へと変わり始めていたのである。やや大きくなって見えるのは、ガン自体が「ふやけてきた」のである。ふやけると、当たり前だが大きくなる。そして、それは悪いことではない。カチカチのままでは体外に排出できないからである。
4/21 (月)
- 百会5番5分置鍼。右臨泣に即刺即抜で瀉法。
- 百会5番5分置鍼。
- 百会5番5分置鍼。
4/19からずっと右耳があまり聞こえない。全く聞こえないわけではないがそれに近い。ウォーキング1時間指導。 >> 右耳の症状は腫瘍が聴神経を圧迫し始めたことを示唆するが、ウォーキングは増えていることから生命は後退しているわけではなく、むしろ前進していることが分かる。脳幹を圧迫すれば死んでしまうところを、聴神経の圧迫で済んでいるので、体が無難なところを選んでくれていると指導した。
4/28 (月)
- 百会5番5分置鍼。右臨泣に銀製古代鍼で瀉法。
- 百会5番5分置鍼。人中に即刺即抜で瀉法。
- 百会5番5分置鍼。人中に即刺即抜で瀉法。
右耳があまり聞こえない。おととい恒例のタケノコ掘り、去年は疲れたが今年は体力がついたのか疲れなかった。順調に過ごせている。中期邪気スコア(胃脘部)11。
この日から人中に「生きたツボの反応」が出始めた。人中は、開竅作用を持つ穴処である。開竅とはふさがれた竅 (あな) を開けることであるが、竅をふさいでいるのは風痰である。冒頭でダーツに例えたが、もし風痰が命の根幹 (臓腑) に当たれば死ぬ。本症例では脳幹圧迫で呼吸が止まると考えていただいていい。もし風痰が命の枝葉 (経絡) に当たればその部分が不自由になる。本症例ではそれが右耳難聴 (のちに視力低下も) である。
これは脳梗塞 (中風病) の病理を応用した考え方である。中風病において、中臓腑は死、意識混濁、あるいは重篤な後遺症を引き起こす。中経絡は意識には影響せず軽い後遺症を残すのみである。

僕の臨床では意識混濁 (中臓腑) で来院する患者さんはいない。だが「中経絡」の状態で来院される方は非常に多い。そういう場合は経絡をふさいだ風痰を取り除く、それ穴処が人中なのである。もちろん虚実をわきまえないと正気を漏らすので注意してほしい。脳梗塞後遺症はもちろん、脊髄小脳変性症、突発性難聴などの耳疾患、顔面麻痺・顔面けいれんや飛蚊症にいたるまで人中が反応してくる。応用範囲は大きい。
本症例では、人中で「風痰の除去」を行ったことも、ガンの除去につながったと思う。風痰は清竅をふさぎつつあったのである。それを開いた。開竅である。ふさがれた竅を開いて、通じればどこに出るのか。清空である。清空とは冴えた空である。冴えた感覚である。すなわち、脳の冴えた意識・感覚・運動) である。頭部に蓄えられたガンは、清空を侵す強大な風痰とも言える。初診時は、いまや清竅は完全に閉ざされ意識混濁から死 (中臓腑) に至ろうとしている、まさにギリギリの状態だったのである。
5/9 (金)
- 神闕に打鍼。
- 百会5番5分置鍼。右臨泣に即刺即抜で瀉法。
- 百会5番5分置鍼。
今日の一回目の治療後、右肩甲間部の痛みが取れた。先生 (僕) と話をして気持ちが楽になった。
5/12 (月)
- 百会5番5分置鍼。
- 百会5番5分置鍼。
- 百会5番5分置鍼。
中期邪気スコア(胃脘部)12。
5/19 (月)
- 百会5番5分置鍼。左胆兪に虚の反応。
- 百会5番5分置鍼。
- 百会5番5分置鍼。
昨日、おとといとだるくて一日寝ていた。
5/26 (月)
- 神闕に打鍼。
- 百会5番5分置鍼。
- 百会5番5分置鍼。
5/19・20・21、だるさのため仕事を休んだ。5/23から調子が戻り、今も大丈夫。今朝から左頭痛あり。8月に新婚旅行スペインに行ってよいか質問があり、脈診で判定の結果OK。ゆっくりしに行くつもりで行ってきなさいと指導。
6/2 (月)
- 百会5番5分置鍼。右臨泣に銀製古代鍼で瀉法。
- 百会5番5分置鍼。
- 百会5番5分置鍼。
中期邪気スコア(胃脘部)12。5/31寒気とだるさで一日寝たが、ここ最近では一番調子のいい一週間だった。
6/9 (月)
- 百会5番5分置鍼。右臨泣に銀製古代鍼で瀉法。
- 百会5番5分置鍼。
- 百会5番5分置鍼。
一週間体調よかった。たまに左頭痛。今まで言えていなかったが、妻に「末期ガン」を伝えることができた。伝えたら体が少し軽くなった感じがする。同時に今日、先生 (僕) にもはじめて末期だと伝えられた。スッキリした。
初診以来、ガンの進行は止まっていると見る。ただしガンは柔らかくなって大きくなる傾向にあった。と同時に、かたくなに閉ざされた心もまた柔らかくなり、大きな広がりを見せ始めていたのである。だから「伝えることができた」のだろう。さらにその「伝えること」により、ガンの軟化・巨大化は加速の度を増すこととなる。
6/16 (月)
- 百会5番5分置鍼。
- 百会5番5分置鍼。
- 百会5番5分置鍼。
中期邪気スコア(胃脘部)9。左頭痛あり。
6/23 (月)
- 百会5番5分置鍼。
- 百会5番5分置鍼。右臨泣に銀製古代鍼で瀉法。
- 百会5番5分置鍼。
中期邪気スコア(胃脘部)9。眠りにくい日が多かった。
6/30 (月)
- 百会5番5分置鍼。
- 百会5番5分置鍼。抜鍼時出血。
- 百会5番5分置鍼。右臨泣に即刺即抜で瀉法。
中期邪気スコア(胃脘部)9。悪寒発熱で仕事を早退した日があった。
7/7 (月)
- 百会5番2分置鍼。右臨泣に即刺即抜で瀉法。
- 百会5番5分置鍼。
- 百会5番5分置鍼。右臨泣に即刺即抜で瀉法。
7/3朝起きたら左顔面 (左目から左口角にかけて) が麻酔したような痺れがある。 >> ガンは右だが、巨大化して左にも影響し始めた。
中期邪気スコア(胃脘部)9。
7/14 (月)
- 百会5番1分置鍼。右少沢に銀製古代鍼で瀉法。
- 百会5番1分置鍼。
- 百会5番1分置鍼。右臨泣に即刺即抜で瀉法。
7/11から右目が見えづらい (両目で見ると遠くが二重にぼやける) 。昨日から右耳がやや聞こえやすい。左顔面痺れは強くなった。左鼻で息ができることが数回あった。左頭痛がここ2〜3日ある。中期邪気スコア(胃脘部)9。

7/17のMRI画像

1月から4月にかけてやや大きくなったかに見えたのは気のせいではなかった。明らかにガンは大きくなっている。その証拠が、耳が聞こえなくなり、左顔面が痺れ、ついで目が見えづらくくなったという現象である。
3月に倒れると宣告を受けた。しかし生きている。すなわち、脳幹 (青で塗りつぶした部分) には近づかず、逆方向の鼻孔や額部に張り出してきていることが画像から分かるのである。ガンがふやけてきた (軟化してきた) から大きくなってきているのであり、大きくなることは必要なのであるが、命の根幹である脳幹を避けるようにして大きくなっているのである。生き続けようとする生命は、こういうことをやってくる。都合のいいように、柔軟にかわしたり変化したりする。決して偶然ではないのである。そういう「印象」を僕は持つのである。それは下リンクのような奇跡を経験してきたからそう思うのである。


こういう経験を持たない臨床家は、この「印象」に学ぶべきである。反論があればこの程度の症例を出されたうえでお伺いしよう。
7/21 (月)
- 百会5番2分置鍼。人中に即刺即抜で瀉法。
- 百会5番5分置鍼。右臨泣に即刺即抜で瀉法。
- 百会5番5分置鍼。
中期邪気スコア(胃脘部)9。左頭痛で仕事を休むことがあった。7/15・20と血の塊が出た。 >> 大量の血の塊を口から吐き出すというのは、当院受診後から起こった現象である (もともと鼻からは微量の出血があった) 。一度目は初診の日で、僕の眼の前で口から大量に吐き出した。それ以来となる血塊排出である。




7/28 (月)
- 百会5番2分置鍼。人中に即刺即抜で瀉法。
- 百会5番5分置鍼。人中に実の反応があったが取れる。
- 百会5番5分置鍼。人中 (−) 。
今日来てすぐ、待合に座った時に患部に血が通る感じがした。右目は見えにくい。右耳は復活、聞こえる。左口角の痺れあり。中期邪気スコア(胃脘部)9。
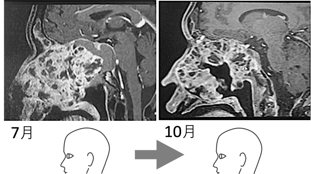
下に置いた画像 (7月→10月) を見ていただくと分かるのだが、この血塊はガン中心部が崩れて排出されたものである。中心部が抜け落ちて、やがて少しずつガンの全体が縮小し、聴神経を圧迫しなくなったのである。ガン中心部から崩壊が始まったのだ。
8/4 (月)
- 百会5番3分置鍼。人中に実の反応があったが取れる。
- 百会5番5分置鍼。
- 百会5番5分置鍼。人中 (−)
右頬の気の流れは4cm下。いい一週間だった。
8/7〜17スペインに新婚旅行。
8/18 (月)
- 百会5番3分置鍼。人中 (−) 。
- 百会5番5分置鍼。
- 百会5番3分置鍼。
8/8、右目が見えるようになった。スペイン空港に降り立った瞬間、ぱっと視界が開けてクリアになったという。旅行前半は左頭痛がほとんどない状態、後半は左頭痛が全くない状態で旅行を楽しめた。中期邪気スコア11。
ガン中心部が抜け落ちてできた空洞が、押されて小さくなっていくにつれて、ガン全体の輪郭も小さくなっていった。血塊が出ていないのに、7/20の血塊排出から時間を挟んで8/8に目が見えるようになった理由をそのように説明する。
すなわち、7/20血塊排出直後に画像を撮ったならば、その血塊分の空洞ができていたはずである。空洞ができ、ガンの圧力によって空洞が徐々に狭められるとともに、ガン全体のの輪郭が小さくなってきた。そう推測されるのである。
スペインの空港に降り立った瞬間、空洞が埋まるとともにガンが小さくなったのだろう。いずれ見えるようになるのだろうが、空港に降り立った晴れやかなメンタルが急な変化を起こしたことは推測に難くない。
8/25 (月)
- 百会5番1分置鍼。右臨泣に即刺即抜で瀉法。人中に実の反応があったが取れる。
- 百会5番30秒置鍼。人中 (−) 。
- 百会5番2分置鍼。人中 (−)。
右頬の気の流れは4cm下。3回目の治療後、右頬の気の流れはPerfectになる。中期邪気スコア(胃脘部)9。一週間調子が良かった。左頭痛なし。ウォーキング時は左鼻が通っている。左頬から左口角の痺れはまだある。法事があって家族と良い時間が過ごせた。
9/1 (月)
- 百会5番1分置鍼。
- 百会5番2分置鍼。
- 百会5番2分置鍼。
とても元気です、とのこと。8月に入って以降、顔を気にすることが減った。右頬の気の流れは1cm下。2回目治療後、右頬の気の流れはPerfectになる。中期邪気スコア(胃脘部)9。
9/8 (月)
- 百会5番2分置鍼。
- 百会5番5分置鍼。
- 百会5番2分置鍼。人中に銀製古代鍼で瀉法。
右頬の気の流れは一回目治療前からPerfect。さらに、初診時から9/8の1回目治療までRL臨泣に実の反応があったが、この日9/8の2回目治療を境にそれが消え、かわりにRL公孫に実の反応がみられるようになる。その後、臨泣の反応は復活することがなかった (10/27現在)。 >> 臨泣実の反応が消え、公孫実の反応に変わったことは重要であり、その意味するところは、瘀血 (カチカチ) が柔らかくなって痰湿 (ドロドロ) に変わったのである。だからドロドロの血塊を排出できたのである。僕は腫瘍の悪性度を見分ける際に、これらの穴処を大いに参考にする。多くの腫瘍は臨泣に反応が出ており、これは瘀血が存在することを意味する。よってこうした腫瘍は「カチカチ」あるいは「凝集」をイメージする。臨泣に反応が出ておらず、かわりに公孫に反応が出ている場合は痰湿であり、「ドロドロ」あるいは「拡散」をイメージし、こういうものはガンを意識せず、腫瘍にしても小さくなりやすいと考える。公孫に反応が出ているものは、高血糖や脂質異常などによく見られる。ガンにおいて、臨泣の反応が公孫に移動すれば良い変化である。ただし移動して、治療もせずに放置すると拡散後また凝集を始め、結果として瘀血が散らばる (転移する) ので注意が必要である。
中期邪気スコア(胃脘部)9。
9/7出血3回。
9/8 (今朝) も出血1回 (画像なし) 。
右顔面の圧迫感は3ヶ月前からない。左頬から左口角の痺れは変化なくある。



1回目は初診 (昨年12/27) 、2回目はそして7/20、さらに3回目は9/7。
3回目のガンの排出が始まったのである。
出産と同じである。正気 (生命エネルギー) をためて、ためて、ためて。そして一気に排出する。
9/15 (月)
- 百会5番1分置鍼。
- 百会5番2分置鍼。
- 百会5番2分置鍼。
右頬の気の流れは一回目治療前からPerfect。中期邪気スコア(胃脘部)9。
前回治療日の9/8帰宅後から翌9日にかけて出血3回。3回とも下画像と同程度の出血量があった。

9/7〜8にかけて計7回のまとまった血塊排出があった。この直後で画像を撮っていれば、下画像 (10/20のMRI) よりも大きな空洞が写ったはずである。また大きなガンの輪郭が映し出されたはずである。ポッカリあいた空洞が押されて小さくなっていき、それにつれてガン全体の輪郭も小さくなっていくからである。
右目の目やにが多い。ウォーキング時・立っている時、左鼻の通りが良い。鼻をかむとき腫瘍が出そうな感じがする。 >> こういうイメージは大切である。人工透析10年無尿、にもかかわらずカリウム自力排泄という奇跡 では、10年前から小便が出ず、尿意がどんなものだったかを忘れてしまった患者さんが、尿意を感じて小便をする夢を見るという不思議な現象とともに、尿でしか排泄されないはずのカリウムが正常値となった (カリウム吸着薬用いず) という症例を紹介したが、それを彷彿とさせる。
腫瘍が出そうな感じがすると語った当該患者も、実際に腫瘍が出たのである。これは後の画像で明らかとなる。
9/22 (月)
- 百会5番1分置鍼。人中 (−)。
- 百会5番2分置鍼。抜鍼時出血。
- 百会5番2分置鍼。
右頬の気の流れは一回目治療前からPerfect。中期邪気スコア(胃脘部)9。9/17・20・21のそれぞれに1回ずつ、血塊が出た。昨日ウォーキング中に左鼻だけてなく右鼻も通った。母親に「顔が優しくなったね」と言われた。

10/6 (月) 発熱 (39℃) でキャンセル。おかゆを食べている (おいしい) と電話で確認。
10/13 (月)
- 百会5番30秒置鍼。
- 百会5番2分置鍼。
- 百会5番2分置鍼。
右頬の気の流れは一回目治療前からPerfect。中期邪気スコア(胃脘部)9。
10/11血塊 (500円玉大) が出る (画像なし) 。


ガン中心部に空洞が出現した。あの血塊排出は、やはりガン排出だったのである。カチカチだったガンが、中心部からドロドロになり、ドロドロのガンを吐き出したのである。
10/27 (月)
- 百会5番2分置鍼。右上巨虚に即刺即抜で瀉法。
- 百会5番2分置鍼。
- 百会5番2分置鍼。
画像でガンの中心部分が抜け落ちているとドクターから言われた。
右頬の気の流れは1回目治療前で1cm下。2回目治療後に気の流れはPerfectになる。中期邪気スコア(胃脘部)9。
カレーの臭いが分かった。 >> ガン化していた嗅神経までが再生し、嗅覚が戻ってきたのだろう。
9月に入ってからガンのことを自然と考えなくなった。 >> ガンのこと考えるのは無駄なことである。なぜなら、考えたところでよくはならないからである。むしろ考えすぎると、脳でそれだけ血を消耗する。血とは陰であり、陰とは安らぎである。これを消耗すると病気は治らない。
鼻孔から見たガンの変遷
頭部の巨大ガンが、唯一外側から見えるのが鼻孔からである。ガンの表面組織の一部がここから観察できる。
初診2024/12/27の鼻の画像 (下) を見ると、明らかなガン組織が見える。そしてこの撮影の直後、2度に渡る血塊排出 (大量) があった。その排出した分だけガンはかなり小さくなったはずではあるが、そのMRI画像はない。
約1ヶ月後のMRI【1月】の画像 (1/23撮影) ならあるが、もしこの血塊排出 (大量) がなければ本来のMRI【1月】はもっと巨大であっただろう。その巨大さは、すでにガンが脳幹を圧迫し死に至らしめるほどのものであった可能性が高い。初診の血塊排出 (大量) があったから、MRI【1月】で見るガンの大きさはこの程度のもので済んでいたのだ。
初診の血塊排出こそが、死を回避する決定打となっていたのである。なぜなら、MRI【前年10月】とMRI【1月】を比較して、ドクターはその大きさの進行具合から、Xデー (脳幹を圧迫し呼吸中枢が機能しなくなる日) が3月に来ると予想するのだが、血塊排泄がなければこんなものでは済まなかったからだ。
おそらく当院を訪れる縁がなければ、1月中にXデーは訪れていただろう。初診はギリギリのタイミングだったのだ。そのタイミングで奇跡的に大量の血塊排出が起こったのである。
下の鼻の画像からもそれが伺える。12/27の血塊排出により、ガンは大きく小さくなった。どう小さくなったかというと、ガン全体の内、顔正面から見て最も奥 (脳幹側) のガン組織を排出して急激に小さくなったのである。その時のガンは手前 (鼻側) の方に位置する形で存在した。
それが徐々に元の場所に戻るに従って、鼻孔に張り出したガンが後退していったのだろう。それが下画像の2025/3/3である。

その後退が起こりつつも、ガンは軟化しふやけて巨大化しつつあった。それが2025/6/2の画像から伺える。動眼神経や聴神経を圧迫し出したのもこの時期である。
そしてガン中心部が崩壊しつつあった2025/9/22の画像では、ガン組織に透明感が伺える。ガン細胞密度が低下 (希薄化) してきている可能性を示唆する。希薄になればなるほどガンは大きくなり、大きくなりつつも血塊排出し、結果として輪郭は、大きくもならず小さくもならない。だから鼻孔から伺えるガンは、2025/6/2と2025/9/22とで張り出し方は変わらず、濃さだけは変わったということだろう。
ガンの崩壊はどのようにして起こったか
ここまで生きて来れた。その最も大きなターニングポイントは、やはり初診であろう。初診で大量の血塊を吐き出した。大量のガンを吐き出したのである。
これはあくまでも想像だが、塊がどうやってできるかを考えたい。地球も元は宇宙のチリだったそうだ。それが凝集して小さな地球ができ、その表面に次々とチリがくっつき巨大化していく。つまり、最も古い地球はコアの部分なのである。
イメージとして、ガンも同じである。塊のコアが最も古くから存在するガンで、表面に近くなるほど新しいガンであると考える。この考察は、東洋医学的な陰陽論に基づく考え方で、実際にはそうでない場合であっても臨床で役に立つと考えて良い。
そのように考えると、コアはカチカチで硬い (瘀血) 。表面はまだ新しくくっついたばかりでドロドロ (痰湿) なのである。
よって初診の大量血塊排出は、コアから排出されたものではなく、おそらく表面の新しいガンが剥がれたものだ。なぜなら硬いコアからあんなドロドロの血塊が出てくるはずがないからである。そしてこの大量さが、コアを柔らかくするスペースと時間の余裕をもたらした。コアが柔らかくなればガンそのものがふやけて巨大化する。それが可能なスペースがなければ、脳幹を圧迫して死んでしまうだろう。コアではなく、もし表面が柔らかくなると「浸潤」を起こし脳幹を犯す可能性がある。つまり拡散というリスクが出てしまうのである。
その後のガン崩壊の過程は、上文のグレー枠を中心に読んでいただけると分かると思う。
巨大化したガン。
その状況下において、生体はギリギリの選択をしたようだ。初診の大量血塊排出、これはギリギリのタイミングであった可能性があるのだ。ギリギリ間に合ったのである。
そして改めて知る。
表証を取ることの大切さ。
初診の大量血塊排出は、表証を取った直後に起こった。9月の大量排出がコアからの排出であり、それに対して初診 (前年12月) の排出はガン表面が剥がれたものであるとする理由の一つがここにある。表証なのである。だから表面の邪気が取れるのである。
表証 (表寒証) があると、寒邪に取り囲まれてニッチもサッチもいかなくなる。すなわち、痰湿も邪熱も取れなくなるのである。痰湿とは、餅や油汚れが皿にこびりついたものと考えればいい。冷たい冬の水道水で洗っても余計にコテコテに固まって取れないが、お湯で洗えばふやけて取れやすくなるだろう。また邪熱も、寒邪に覆われると魔法瓶状態となって発散できなくなるが、寒邪が退くと普通の容器にお湯を入れたときのように直に冷めてくるだろう。40年前に失明した目が、たった一本の鍼で翌朝見えるようになった症例があるが、表証を取ったことによって痰湿と邪熱が速やかに取れたからこそ起こったことである。奇跡に見えて奇跡ではない。ちゃんとした理由があるのだ。
表証はカゼのことだろ? そんな単略的思考でプロを名乗っているのをよく見かける。
表裏・寒熱・虚実。そして陰陽。すなわち八綱。基礎がどれほど大切か、思い知るべきである。
表証をとってガンが縮小、余裕ができたその間に、ガンが柔らかくなっていく。
目が、表情が柔らかくなっていく。
こころが、柔らかくなっていく。
そして言えた。おれ、末期なんだ。
隠れた病、それがガンである。
見た目にはわからない、それがガンである。


大切なことは隠してはいけない。隠すと片付かない。
要るもの (正気) は取っておき、要らないもの (邪気) はゴミ袋へ。
まず表面に出す。言葉に出す。
言えた。
だから片付き始めた。それが血塊排出。
ガンの排出だったのである。


重症患者ほど否定的なイメージを植え付けられているが、これは本当に良くない。肯定的なイメージをもつことが大切である。イメージは現実化するからである。ただし、醫者が気休めを言い続けても肯定的なイメージは生まれない。気休めとはウソであって真実ではない。真実を知らしめるのである。真実とは肯定である。「よくなる」である。醫者自身がその真実をつかめるかである。その真実を知ったうえで、僕はウソはつかない。悪いものは悪いと言うし、良いものは良いと言う。そして、結果として「良い」。その結末を熟知している。だが重症患者ほど、悪い事のみ信じて、良いことは信じようとしない。それは醫者が、事実 (真実) を上手く説明できていないからである。事実とは、肯定的である。この世は、この人生は、肯定的である。この大自然は肯定でしかない。それを身にしみて分かっている醫者でなければ、患者さんに言葉は届かない。否定を好む醫者では患者さんは救われない。